Категория
Жалобы на эстетику улыбки.

Пациентка, молодая девушка, обратилась  к нам с жалобами на эстетику улыбки.

  • После проведенной диагностики (КЛКТ в привычном прикусе с ВНЧС, ТРГ в боковой проекции, анализ диагностических моделей челюстей, фотометрия) было принято решения проводить лечение.

  • Ортодонтическое лечение проходило с использованием пассивной самолигирующей брекет-системы.

Жалобы на отсутствие 36 зуба, вторичные деформации зубных рядов.

После проведенной диагностики (КЛКТ в привычном прикусе с ВНЧС, ТРГ в боковой проекции, анализ диагностических моделей челюстей, фотометрия, антропометрия) было принято решения проводить комплексное лечение.

  • Ортодонтическое лечение проходило с использованием пассивной самолигирующей брекет-системы.

  • Хирургический этап лечения включал удаление 3-их моляров (зубов мудрости) на в/ч и н/ч до начала ортодонтического лечения и установку дентального имплантата в процессе ортодонтического лечения на н/ч в области зуба 3.6.

Циркониевые коронки на зубах 1.2-2.1

 

Пациентка обратилась с жалобами на нарушение эстетики ( потемнение) зубов 1.1, 1.2, 2.1. Зубы депульпированы 6 лет назад.

Эстетическая реставрация

Керамические виниры в области зубов 1.2-2.2.

Мостовидный протез из циркония

Установка мостовидного протеза из циркония в области зубов 1.5-2.3

Циркониевая коронка

Установка циркониевой коронки в области зуба 2.1.

В области зуба 2.1 была выполнена установка циркониевой коронки. На первом фото виден подготовленный зуб с культевая вкладкой после препарирования. На втором фото представлен окончательный результат — установлена циркониевая коронка, которая полностью восстанавливает эстетику и функцию зубного ряда.

Работа выполнена стоматологом-терапевтом-ортопедом Мижуй (Бернович) А.Д.

Устранение трем на нижней челюсти

Работу выполнила стоматолог-терапевт Ярошенко М.В.

Фотообеливание

Работу выполнила стоматолог-терапевт Ярошенко М.В.

Реставрация 11,21,31,41

Сколы на зубах травматические от пирсинга на языке. Реставрация зубов 11,21,31,41

Эстетическая реставрация

Эстетическая реставрация 21,22,винир композитный на 11

Эндодонтическое лечение зуба

Эндодонтическое лечение зуба 1.6 с последующим протезированием коронкой из диоксида циркония.

Эндодонтическое лечение зуба

Эндодонтическое лечение зуба 4.4 с последующим протезированием коронкой из диоксида циркония

Перелечивание старой пломбы

Несостоятельность старой пломбы. Перелечивание с последующим протезированием коронкой из диоксида циркония на зубе 4.6

Врач Бернович А.Д

Лечение кариеса, восстановление.

Цель визита: восстановление жевательных поверхностей зубов после окончания 3 лет ортодонтического лечения. + жалобы на застревание пищи между зубами (17 имеет вогнутость, сформированная до ортодонтии из-за неправильного положения зуба) и кровоточивость из десневого сосочка.

Итог: лечение кариеса, восстановление. Десна займёт своё физиологическое положение через пару часов, и полностью восстановится через неделю при хорошей гигиене.

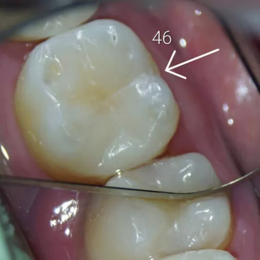
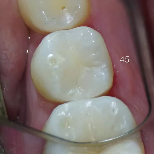
Замена старых пломб на зубах

Замена старых пломб на зубах 45, 46 из-за повторного кариеса.

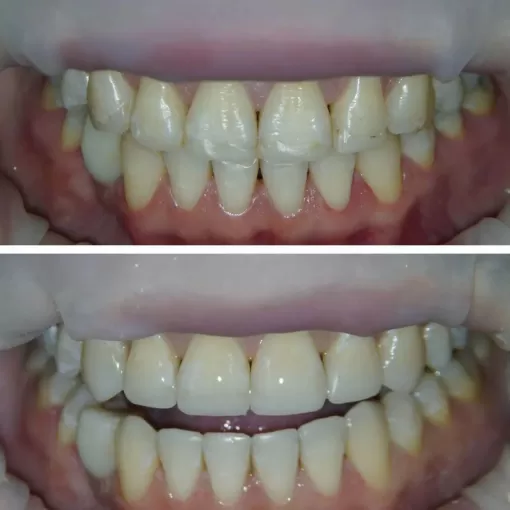
Восстановление эстетики улыбки

Восстановление эстетики улыбки после снятия брекет-системы

Эндодонтическое лечение с микроскопом

Пациентку беспокоили болевые ощущения при накцсывании на правую сторону. По данным КЛКТ в области зубов 1.5, 1.6, 1.7 были выявлены очаги воспалителения. Проведено эндодонтическое лечение с использованием микроскопа, с последующим протезированием коронками из диоксида циркония.

Работу выполнили:

Стоматолог-терапевт-микроскопист Петрусенко О.А.

Стоматолог-терапевт-ортопед Бернович А.Д.

Коронка из диоксида циркония на импланте

Коронка из диоксида циркония на импланте, в области зуба 2.1