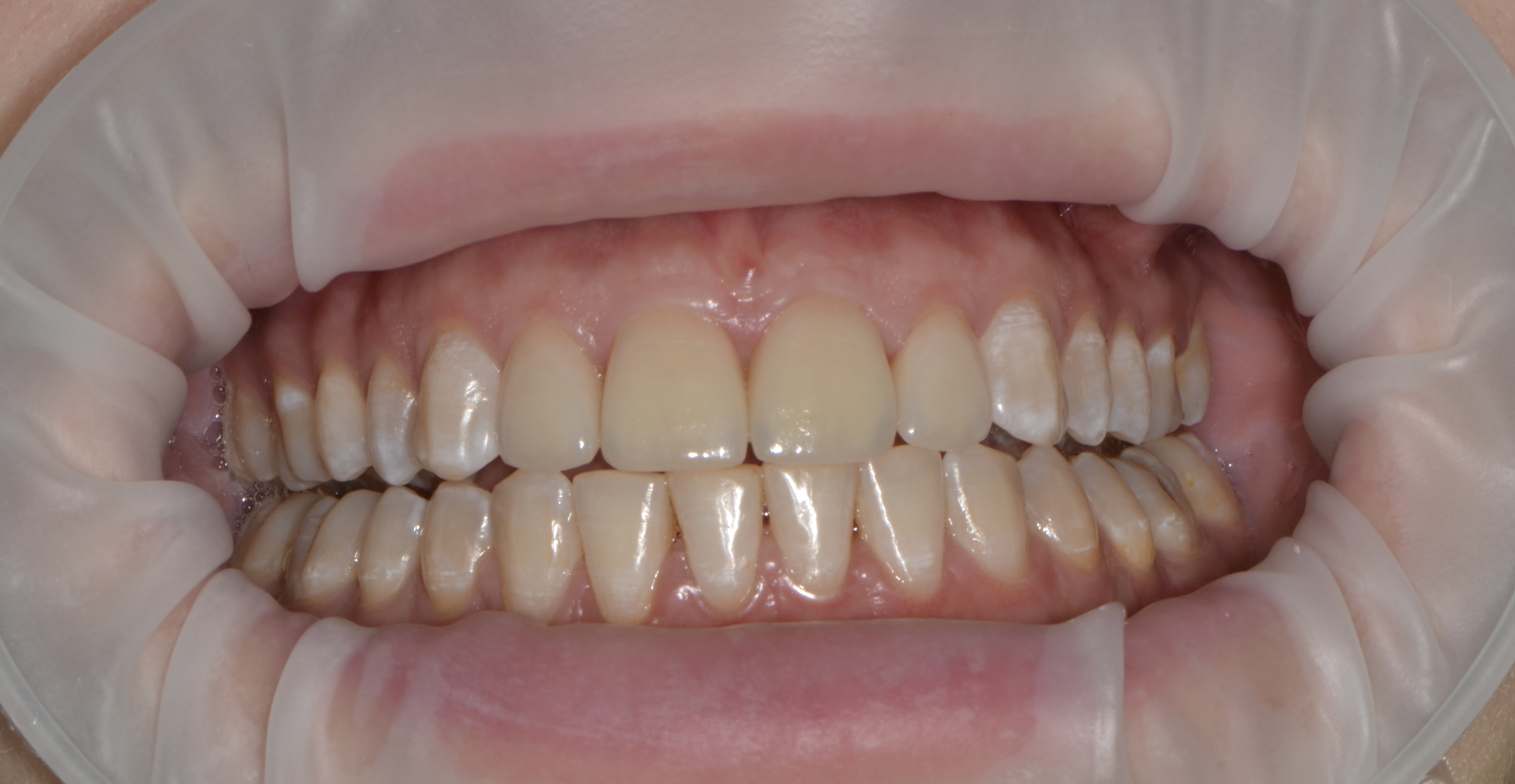
Керамические виниры в области зубов 1.2-2.2.

После проведенного ортодонтического лечения, для восстановления эстетики передних зубов, пациентке предложена установка керамических винир в области зубов 1.2, 1.1, 2.1, 2.2.

 

Работу выполнила стоматолог терапевт-ортопед Мижуй Анастасия Дмитриевна