Категория
Эндодонтическое лечение с использованием микроскопа

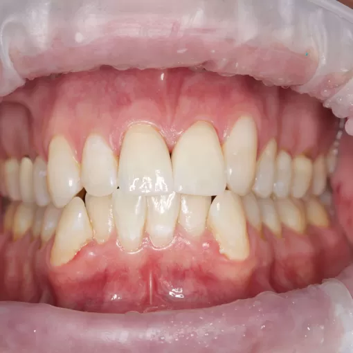
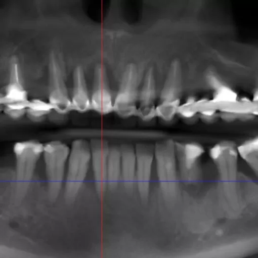
По данным КЛКТ в области зуба 4.6 был выявлен воспалительный очаг. Проведено эндодонтическое лечение с использованием микроскопа, с последующим протезированием коронкой из диоксида циркония.

Работу выполнили:

Стоматолог-терапевт-микроскопист Петрусенко О.А.

Стоматолог-терапевт-ортопед Бернович А.Д.

Проведение зубосохраняющего лечения

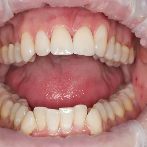
Стоматолог-терапевт-микроскопист Петрусенко О.А.

Стоматолог-терапевт-ортопед Бернович А.Д.

Пациентка обратилась в клинику с жалобами на резкую боль при накусывании в области зуба 1.6, по данным КЛКТ зуб был ранее эндодонтически лечен, в области медиального корня была выявлена перфорация. Команда наших докторов приняла решение провести зубосохраняющее лечение, а не удаление зуба. 

Циркониевые коронки на имплантах и коронка E-max

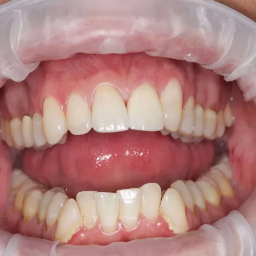
Стоматолог-имплантолог Смольский А.В.

Стоматолог-терапевт-ортопед Бернович А.Д.

Пациентке было установлено два импланта и через 4 месяца выполнено протезирование циркониевыми коронками на имплантах с использованием индивидуальных абатментов в области зубов 1.2 и 1.1 и коронкой E-max на зуб 2.1.

Керамические виниры на зубы 1.1 и 2.1, фото в день фиксации

Стоматолог-терапевт-ортопед Бернович А.Д.

Керамические виниры на зубы 1.1 и 2.1, фото в день фиксации

Пациентка обратилась к нам за эстетикой и для подготовки к ортопедическому лечению

Стоматолог-ортодонт Парейко П.А.

Стоматолог-хирург-имплантолог Патеюк А.Л.

Пациентка обратилась к нам за эстетикой и для подготовки к ортопедическому лечению. В ходе диагностики было выявлено: адентия зуба 2.5, аномальной формы (шиповидный) зуб 1.5, глубокое резцовое перекрытие, давнее удаление зуба 4.6 и, как следствие, вторичная деформация зубных рядов.

Закрытие рецессии десны в 2 этапа в области 4.1 зуба после ортодонтического лечения

Стоматолог-хирург Патеюк А.Л.

Закрытие рецессии десны в 2 этапа в области 4.1 зуба после ортодонтического лечения. Туннельная методика с подсадкой собственных тканей пациента.

Десневая пластика по закрытию оголившихся частей искусственных коронок

Стоматолог-хирург Патеюк А.Л.

Десневая пластика по закрытию оголившихся частей искусственных коронок. Продлили функционирование ортопедической конструкции.

Закрытие рецессии десны в области 2.3 зуба по методу Дж.Зуккели

Стоматолог-хирург Патеюк А.Л.

Закрытие рецессии десны в области 2.3 зуба по методу Дж.Зуккели. Свободный субэпителиальный трансплантат выделен в области дистального отдела верхней челюсти и подсажен в реципиентную зону.

жалобы на скученность зубов на нижней челюсти и вестибулярное положение клыка на верхней челюсти справа

Стоматолог-ортодонт Парейко П.А.

Пациентка обратилась с жалобы на скученность зубов на нижней челюсти и вестибулярное положение клыка на верхней челюсти справа.

Молодая девушка, обратилась с жалобы на диастему (промежуток между центральными резцами)

Стоматолог-ортодонт Парейко П.А.

Пациентка, молодая девушка, обратилась с жалобы на диастему (промежуток между центральными резцами).

После проведенной диагностики (КЛКТ в привычном прикусе с ВНЧС, ТРГ в боковой проекции, анализ диагностических моделей челюстей, фотометрия) было принято решения проводить комплексное лечение.

Жалобы на диастему (промежуток между цетральными резцами)

Стоматолог-ортодонт Парейко П.А.

Пациентка, молодая девушка, обратилась с жалобы на диастему (промежуток между цетральными резцами).

После проведенной диагностики (КЛКТ в привычном прикусе с ВНЧС, ТРГ в боковой проекции, анализ диагностических моделей челюстей, фотометрия) было принято решения проводить комплексное лечение.

Жалобы на отсутствие 26 зуба и кант (он же ролл - наклон зубного ряда во фронтальной плоскости)

Стоматолог-ортодонт Парейко П.А.

Стоматолог-хирург Патеюк А.Л.

Пациентка, молодая девушка, обратилась с жалобы на отсутствие 26 зуба и кант (он же ролл - наклон зубного ряда во фронтальной плоскости).

После проведенной диагностики (КЛКТ в привычном прикусе с ВНЧС, ТРГ в боковой проекции, анализ диагностических моделей челюстей, фотометрия) было принято решения проводить комплексное лечение.

Жалобы на неправильный прикус и "нахлест" передних зубов

Стоматолог-ортодонт Парейко П.А.

Пациентка обратилась с жалобы на неправильный прикус и "нахлест" передних зубов. В ходе диагностики было выявлено:  сужение верхнего и нижнего зубных рядов и бипротрузия и мезиальный наклон боковой группы зубов. 

Жалобы на неправильный прикус

Стоматолог-ортодонт Парейко П.А.

Пациентка, молодая девушка, обратилась с жалобы на неправильный прикус и "торчащий" клык на верхней челюсти слева. В ходе диагностики было выявлено: тортоаномалия зуба 2.3, перекрестный прикус по зубам 2.6 и 3.6, мезиальное смещение 2 сегмента и, как следствие, несовпадение центральных линий верхнего и нижнего зубных рядов.

Жалобы на "торчащие" клыки на верхней челюсти и скученность зубов

Стоматолог-ортодонт Парейко П.А.

Пациентка, молодая девушка, обратилась с жалобы на "торчащие" клыки на верхней челюсти и скученность зубов на нижней нижней челюсти. В ходе диагностики было выявлено: вестибулярное и супраположение зубов 1.3 и 2.3, сужение верхнего зубного ряда, инфроположение зуба 3.4 и дезоклюзия в области 2.3, 3.4 в боковом отделе слева.

Пациент Ж, 55 лет. Пародонтологическое лечение

Стоматолог пародонтолог Титок Н.В.

Пародонтальное лечение считается законченным, когда глубина зондирования нигде не превышает 4 мм. Пациент Ж, 55 лет. После проведенной первичной фазы пародонтального лечения остался зубодесневой карман в области 3.2/3.3. 

Пациентка, 49 лет. Пародонтологическое лечение

Стоматолог пародонтолог Титок Н.В.

Пациентка, 49 лет. Многократно обращалась по месту жительства к стоматологам и проходила курсы местного лечения и антибиотикотерапии у пародонтолога, но процесс прогрессировал. Пришла на консультацию в полном отчаянии и с рекомендациями удалить все зубы для изготовления съёмных протезов. 

Закрытие диастемы

Стоматолог-терапевт Козлова Л.К.

Закрытие диастемы. Минимальное препарирование и минимальная инвазия.

Эстетическая реставрация 12,11,21 и винир 22

Стоматолог-терапевт Ярошенко М.В.

Стоматолог-терапевт-ортопед Бернович А.Д.

Эстетическая реставрация 12,11,21 и винир 22

Перепротезирование

Стоматолог-ортопед Голенков В.В.

Выполнено перепротезирование коронками из диоксида циркония. Пациентка обратилась с жалобами на частичное отсутствие зубов и патологическую подвижность имеющихся зубов, диагноз частичная вторничная адентия верхней и нижней челюсти. Ей было установлено 6 имплантов по методике "все на 6" на верхней и нижней челюсти и первичный акриловый протез, через 10 месяцев выполнено перепротезирование.

Совместная работа с хирургом

Стоматолог-терапевт Ярошенко М.В. Стоматолог-хирург-имплантолог Смольский А.В. 

Совместная работа с хирургом. Мальчик после врождённой расщелины губы и неба

Лечение "гранулем"

Стоматолог-терапевт Петрусенко О.А.

Лечение "гранулем".

Клинический случай лечения "кисты" зуба 4.7

Стоматолог-терапевт Петрусенко О.А.

Клинический случай лечения "кисты" зуба 4.7

Пациент обратился с целью имплантации в области отсутствующего зуба 4.6. Однако после КЛКТ (3Д) исследования был обнаружен воспалительный процесс (киста) в области соседнего зуба 4.7 (рис. 1).