Пациентка обратилась с жалобами на подвижность зубов, на боль от холодного и сладкого, неприятный запах изо рта, кровоточивость десны, эстетический дефект (оголение корней зубов). По КЛКТ множественные очаги деструкции костной ткани.

Хирургом-имплантологом и ортопедом предложено удаление всех зубов и восстановление зубных рядов путем комплексной имплантации и протезирования по системе all-on-6 на обеих челюстях.

По желанию пациентки имплантация на нижней и верхней челюсти проводилась с разницей в 2 недели.

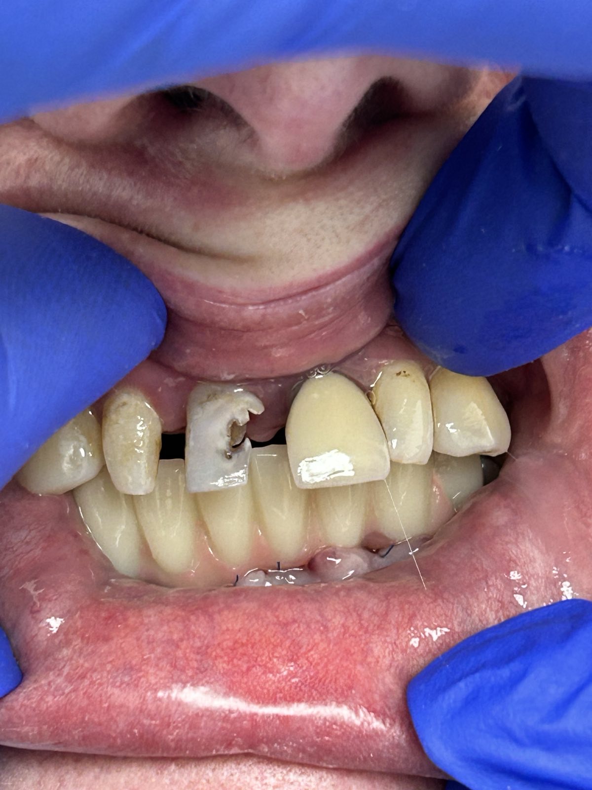
(Первое фото выполнено перед операцией на верхней челюсти, на нижней уже установлены импланты и первичный протез.)

Проверено удаление 22 зубов, установлены по 6 имплантов на верхней и нижней челюстях с хорошими показателями первичной стабилизации. После имплантации проведено первичное временное протезирование. Через 6 месяцев пациентка готовится к перепротезированию (замене первичных протезов на протезы из металлокерамики).

 

Работу выполнили:

  • Стоматолог-хирург Кардис Андрей Дмитриевич

  • Стоматолог-ортопед Бернович Дмитрий Иосифович