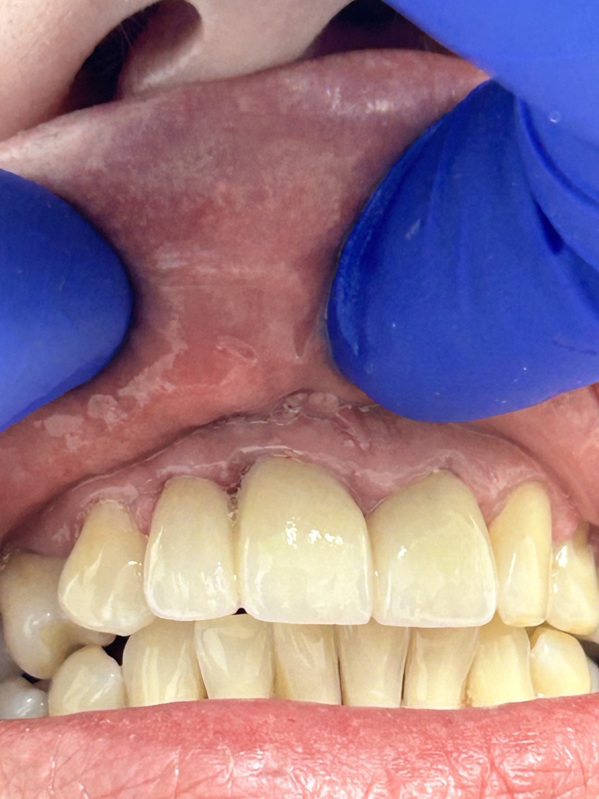
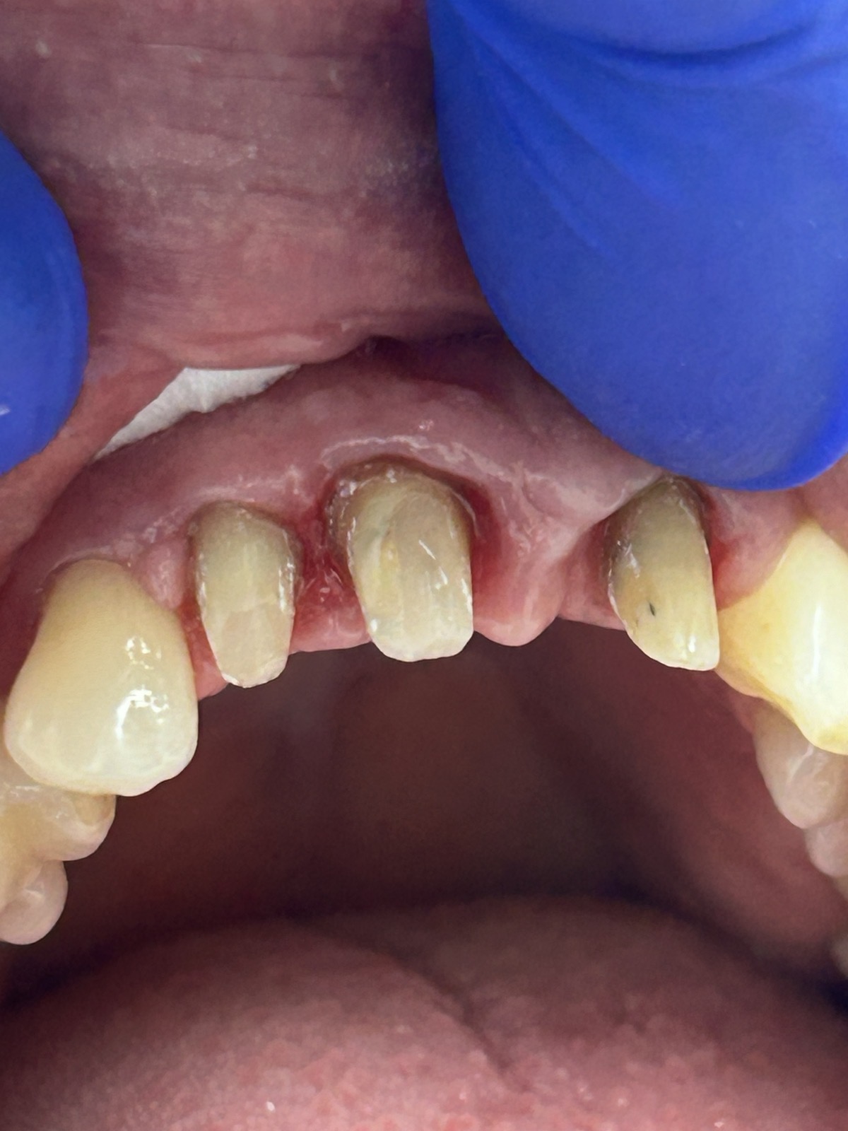
Пациентка обратилась с жалобами на нарушение эстетики ( потемнение) зубов 1.1, 1.2, 2.1. Зубы депульпированы 6 лет назад.
Пациентке предложено протезирование зубов коронками из диоксида циркония.
Работу выполнил стоматолог-ортопед Бернович Дмитрий Иосифович
Пожалуйста, оставьте ваши контактные данные, и мы свяжемся с вами в ближайшее время, чтобы ответить на все вопросы.