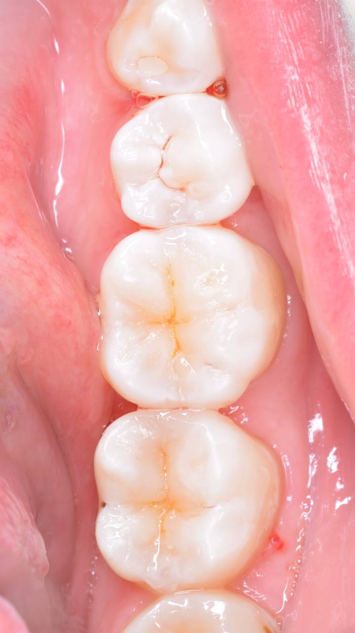
Клинический случай , почему нужно приходить на плановые осмотры с КЛКТ снимком.

При плановом осмотре на 3д снимке был найден апроксимальный кариес в зубе 3.7, при этом пациентку ничего не беспокоило. В зубе 3.6 выявлена несостоятельная герметизация с признаками кариеса на жевательной поверхности.

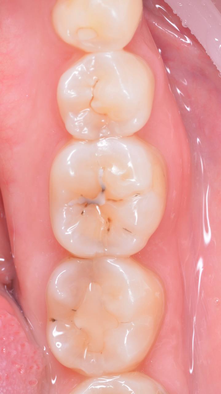
Проведено лечение и эстетическая реставрация зубов 3.6 и 3.6 с восстановлением естественной анатомии зуба.

Работу выполнила:

 Стоматолог-терапевт Топчая Анна Евгеньевна