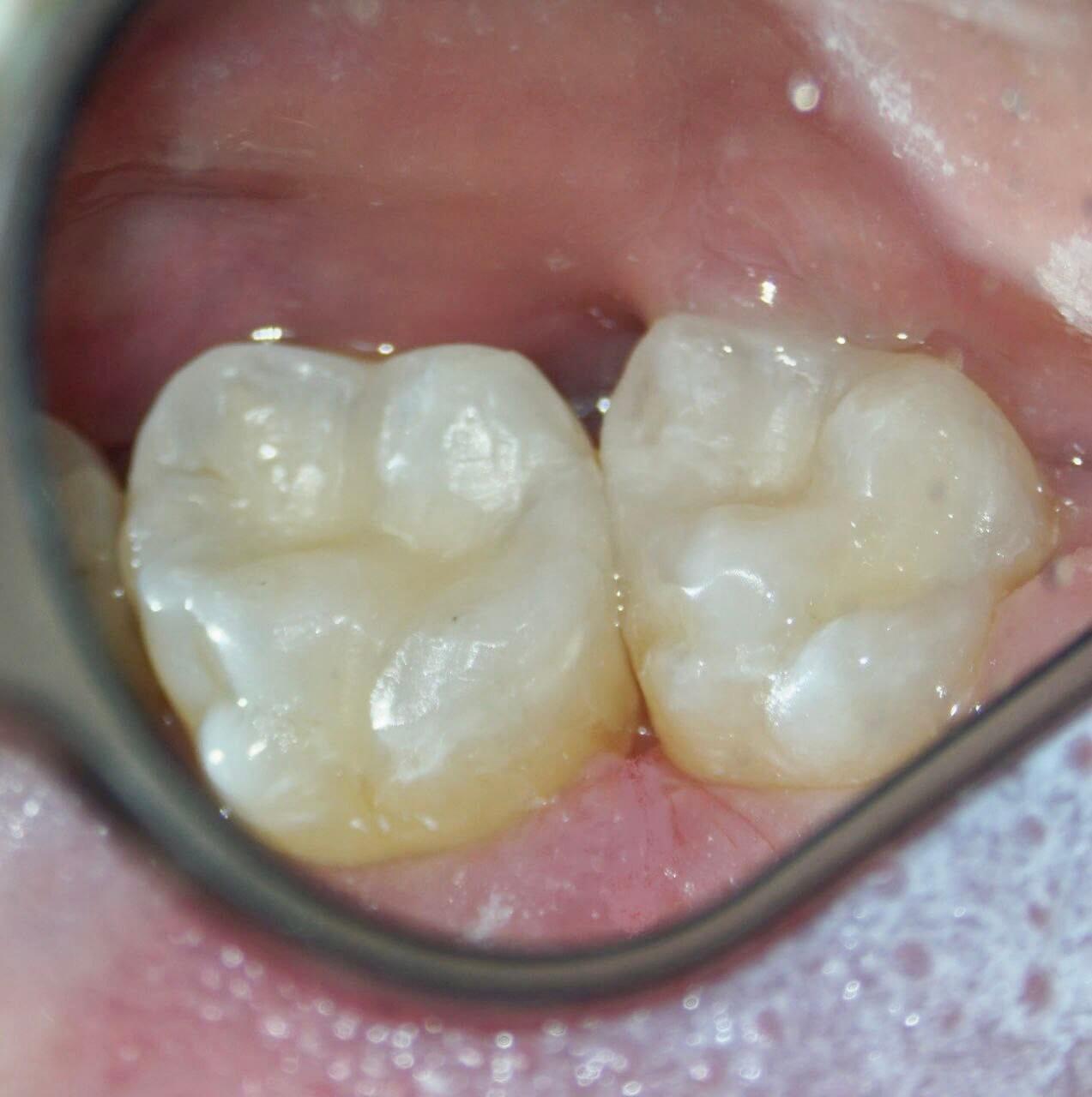
Цель визита: восстановление жевательных поверхностей зубов после окончания 3 лет ортодонтического лечения. + жалобы на застревание пищи между зубами (17 имеет вогнутость, сформированная до ортодонтии из-за неправильного положения зуба) и кровоточивость из десневого сосочка.

Итог: лечение кариеса, восстановление. Десна займёт своё физиологическое положение через пару часов, и полностью восстановится через неделю при хорошей гигиене.