Замена старой металлокерамической коронки на циркониевую коронку на импланте в области 3.6. Протезирование зуба 3.7 циркониевой коронкой

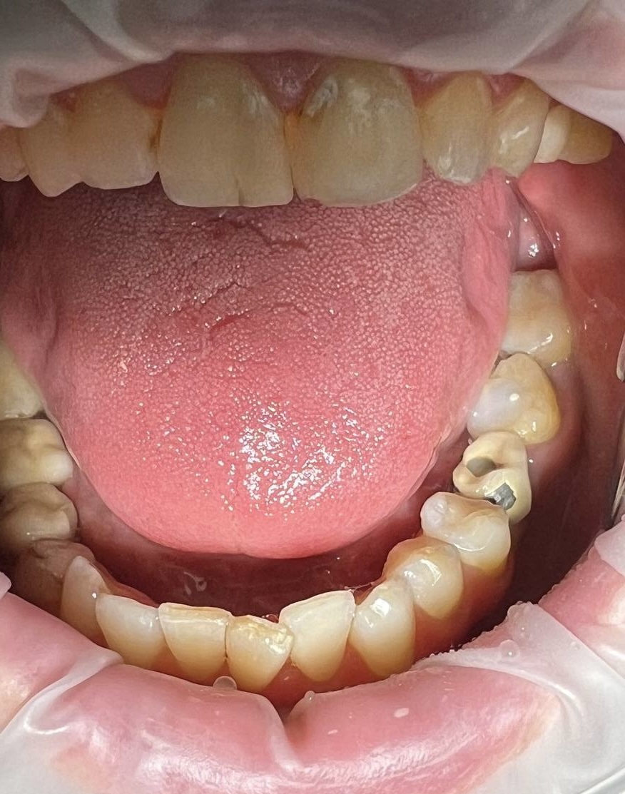
Пациент обратился с жалобами на множественные сколы в области старой металлокерамической коронки на импланте 3.6 и для замены старой пломбы в области зуба 3.7. (ранее депульпированы)

Проведено перелечивание зуба 3.7. Из-за большого размера кариозной полости, истончение стенок зуба, для защиты и восстановления эстетики, принято решение установить коронку. Зуб 3.7 подготовлен для протезирования, сняты слепки.

В течение недели изготовлены и установлены циркониевые коронки на имплант 3.6 и зуб 3.7.

 

Работу выполнила:

Стоматолог-терапевт-ортопед Мижуй Анастасия Дмитриевна