Стоматолог-терапевт-ортопед Бернович А.Д.
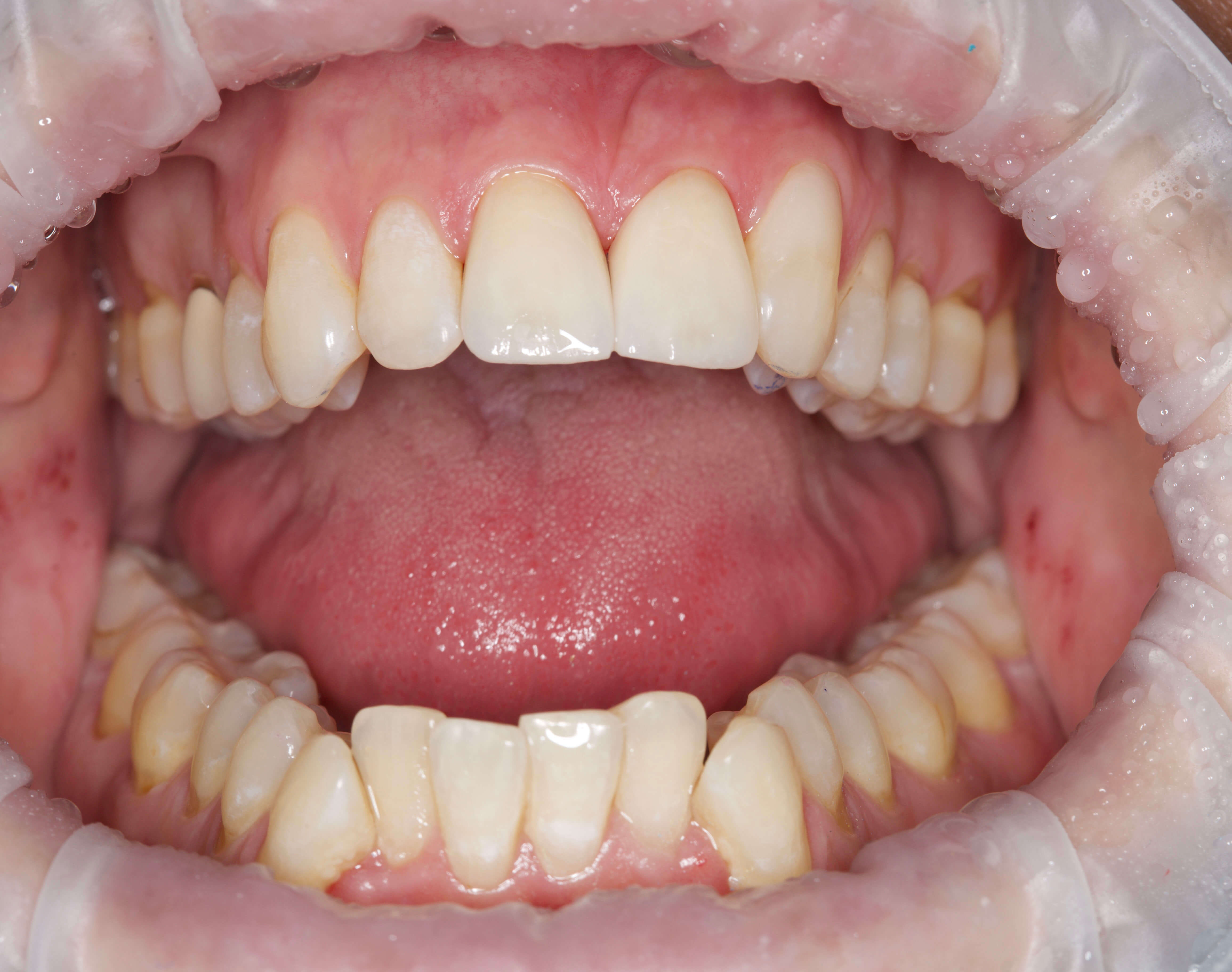
Керамические виниры на зубы 1.1 и 2.1, фото в день фиксации
Пожалуйста, оставьте ваши контактные данные, и мы свяжемся с вами в ближайшее время, чтобы ответить на все вопросы.