Улыбка — это визитная карточка каждого человека, а здоровые и красивые зубы играют ключевую роль в создании положительного первого впечатления. Благодаря современным достижениям в области стоматологии, врачи получили возможность рассматривать улучшения в диагностике и лечении, которые казались бы невозможными еще несколько десятилетий назад. Одним из таких нововведений является использование микроскопа во время стоматологических процедур, что позволяет достигать выдающихся результатов. В той статье поговорим о преимуществах лечения зубов под микроскопом, которые приносит эта инновационная практика как врачам, так и их пациентам.
Диагностика и препарирование
Скрытые кариозные полости (кариес на боковой поверхности) считаются самыми коварными в практике стоматолога-терапевта. В ранней (неосложненной) стадии они плохо диагностируются из-за недостаточного освещения и увеличения, что в совокупности с «классической» методикой препарирования через жевательную поверхность приводит к большому и ненужному удалению твердых тканей зуба. А это большая потеря для последнего. |
![]() | Синяя зона – пломба, занимающая половину жевательной поверхности (не наша пломба). |
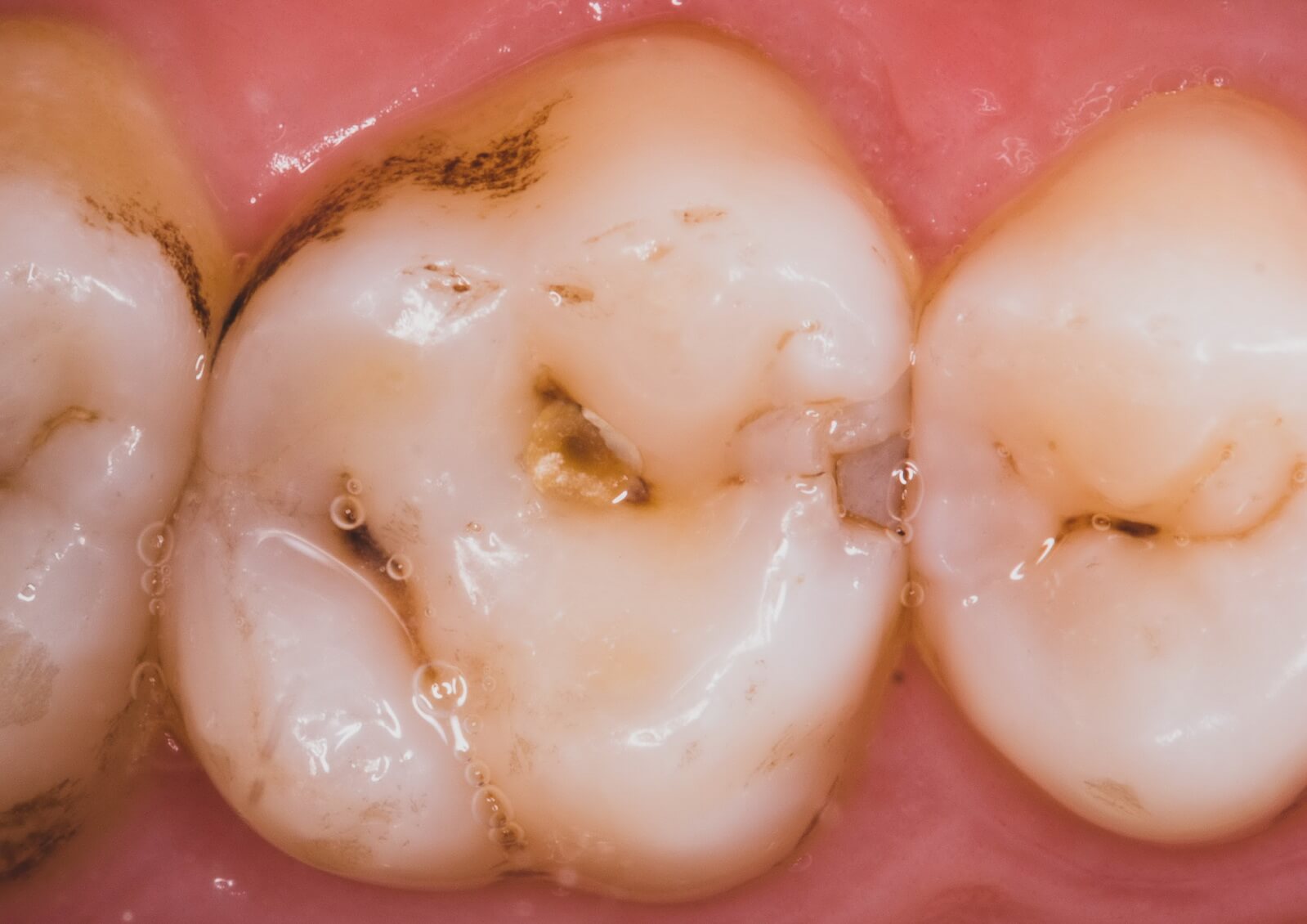
| Лечение зубов под микроскопом дает врачу огромное увеличение от 10х до 25х, а также качественный свет до 100 тыс. люкс (прямые солнечные лучи в тропиках). Это позволяет врачу раньше найти проблему и убрать только плохие инфицированные ткани зуба, максимально сохраняя здоровые. Так, в следующем клиническом случае мы под микроскопом (10х увеличение!) нашли скрытый кариес между зубами 2.4/2.5 (рис. 2). |
![]() Рис. 2. До лечения 2.4/2.5 |
Кариозные полости мы подготовили в современной концепции «минимально-инвазивного препарирования, что возможно только с большим увеличением и освещением (рис. 3 и 4).
![]() Рис. 3. Отпрепарированная полость зуба 2.5: вид сбоку с максимальным сохранением твердых тканей на жевательной поверхности. | ![]() Рис. 4 Отпрепарированная полость зуба 2.4: вид сбоку с максимальным сохранением твердых тканей на жевательной поверхности |
![]() Рис. 5. После реставрации. | Таким образом лечение зубов под микроскопом позволяет провести раннюю диагностику кариозного очага, минимальное препарирование с максимальным сохранением эмали и дентина (рис. 5) |
Лечение осложненного кариеса (пульпита)
Задачи лечения осложненного кариеса (пульпита) зубов следующие: убрать входные ворота для инфекции (кариозную полость), очистить каналы от воспаленной пульпы и герметично запломбировать. При этом прогноз зуба значительно будет зависеть от количества оставшихся твердых тканей зуба. Чем их больше, тем дольше зуб будет выполнять свою функцию. Со всеми этими задачами лучше всего можно справиться с микроскопом.
| Так в следующем клиническом случае (рис. 6) мы наблюдаем глубокую кариозную полость, сообщающуюся с полость зуба (осложненный кариес). | ![]() Рис. 6. До лечения. |
![]() Рис. 7. Отпрепарированные кариозные полости | После аккуратного препарирования под микроскопом нам удалось убрать кариозный дентин в основных полостях, при этом максимально сохранить объем своих твердых тканей зуба (рис. 7). |
| Таким образом зуб был очищен от инфекции и герметично запломбирован по методике «минимально-инвазивного препарирования» (рис. 8). | ![]() Рис. 8. Вид зуба после реставрации |
На контрольной рентгенограмме наблюдаем герметичную пломбировку 4 каналов! (рис. 9)

Рис. 9. Контрольная рентгенограмма после пломбировки системы корневых каналов
Лечение апикального периодонтита
Апикальный периодонтит (воспаление на верхушке зуба), по-старому «кисты и гранулемы», представляет собой реакцию иммунитета на инфекцию в корневых каналах. Чтобы убрать воспаление, нужно избавиться от причинного фактора – инфекции. Инфекцию можно убрать 2-мя способами: удаление зуба или очистка корневых каналов (через коронку зуба или кость). Эффективность лечения корневых каналов в настоящее время достигает высоких показателей: 80-95%, что объясняется появлением никель-титановых инструментов с улучшенными физическими свойствами, биоинертными герметичными материалами и, конечно же, увеличительными системами (микроскоп).
Так в следующем клиническом случае лечения апикального периодонтита мы наблюдаем очаг «воспаления» на верхушке проблемного зуба (рис. 10). Причина воспаления : инфекция в необработанных и незапломбированных каналах (рис. 11). После проведенной процедуры перелечивания системы корневых каналов (их оказалось 6, вместо ожидаемых 4!) под микроскопом мы убрали источник и воспаления и запустили иммунитет на восстановление костной ткани! На контрольных рентгенограммах мы наблюдаем полное восстановление от воспалительного процесса (рис 12).

Рис. 10. Воспалительный очаг на верхушке зуба

Рис. 11. Пропущенные корневые каналы

Рис. 12 Контрольный снимок через 5 месяцев
Таким образом использование в стоматологической практике микроскопа позволяет выйти на новый, зубосохраняющий уровень: ранняя диагностика, точное препарирование и моделирование, максимальное сохранение объема своих твердых тканей и расширенные показания для лечения даже сложных форм воспалительных процессов на верхушках зубов, так называемые «кисты и гранулемы».







