Стоматолог-терапевт-ортопед Бернович А.Д. 

Стоматолог-хирург Патеюк А.Л. 

Стоматолог-ортодонт Парейко П.А.

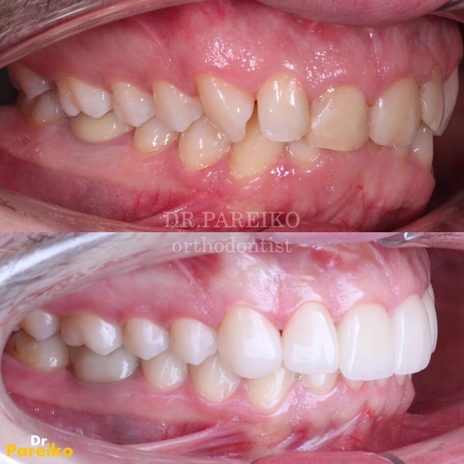
Пациент обратился к нам с жалобами на эстетический дефект, тесное положение зубов на нижней челюсти, глубокое резцовое перекрытие.

После проведенной диагностики (КЛКТ в привычном прикусе с ВНЧС, ТРГ в боковой проекции, анализ диагностических моделей челюстей, фотометрия) было принято решения проводить комплексное лечение. 

Ортодонтическое лечение проходило с использованием пассивной самолигирующей брекет-системы. 

Комплексная стоматологическая реабилитация пациента включала:

1. Терапевтическое лечение

2. Хирургическое лечение

3. Ортодонтическое лечение

4. Ортопедическое лечение 

Весь период реабилитации составил 20 месяцев

После окончания ортодонтического лечения пациент был отправлен на ортопедическое лечение для изготовления 14 керамических реставраций (из них 4 на все первые моляры для стабилизации прикуса и положения н/ч)

Желаем успехов и процветания нашему замечательному пациенту, который выполнял все рекомендации и терпеливо прошел весь этот непростой путь к красивой улыбке и здоровой окклюзии.