Преждевременная потеря зуба, особенно в фронтальной области, кроме эстетических проблем, предоставляет определенные сложности для незамедлительного стоматологического восстановления такого дефекта зубного ряда. Это связано с неравномерной резорбцией губной, оральной и контактной альвеолярной стенки после удаления зуба.
Стандартная двухэтапная методика дентальной имплантации состоит в удалении зуба c последующим заживлением костной ткани с вертикальной и горизонтальной резорбцией костной ткани. Атрофия альвеолярного отростка (уменьшение количества костной ткани после удаления зуба по данным разных источников может достигать 80% от первоначального объема) может возникнуть по разным причинам. Для классической технологии характерно довольно продолжительный период от удаления зуба до установления временной пластмассовой коронки - он может продлиться до 3 месяцев.
При желании пациента и при достижении необходимых условий во время операции можно существенно сократить такой период с помощью одномоментного установления имплантата в постэкстракционную рану с одномоментным укреплением вестибулярной стенки альвеолы аутогенными костными частицами или искусственной костью. Квалифицированный стоматолог-хирург проводит немедленную имплантацию в передней области зубных рядов с помощью дентального импланта при наличии необходимых для этого условий.
Современная техника непосредственной имплантации осуществляется в трех основных формах.
- В первом варианте специалист устанавливает имплантат и ушивает десну наглухо.
- Во второй форме операции, при наличии необходимых для этого условий, дополнительно к установке дентального импланта происходит фиксация формирователя десеневой манжетки (ФДМ).
- Третий способ немедленной дентальной имплантации, который считается наиболее эффективным, предполагает непосредственную с удалением зуба дентальную имплантацию, коррекцию костной стенки альвеолы и одновременное замещение дефекта зубного ряда при помощи временной пластмассовой коронки.
История болезни
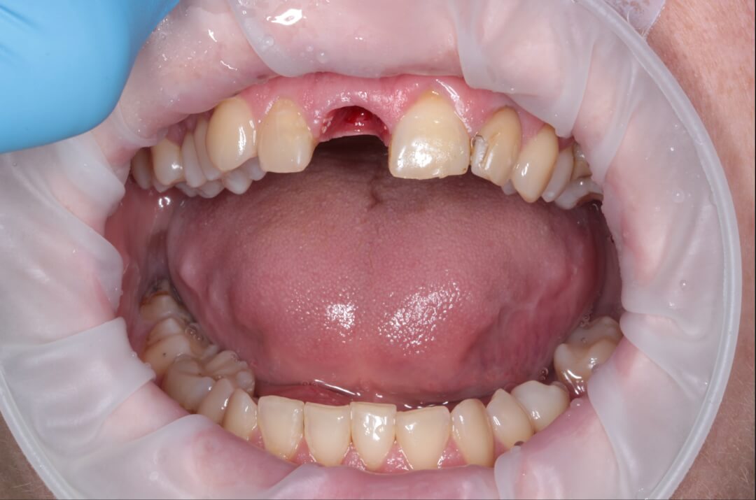
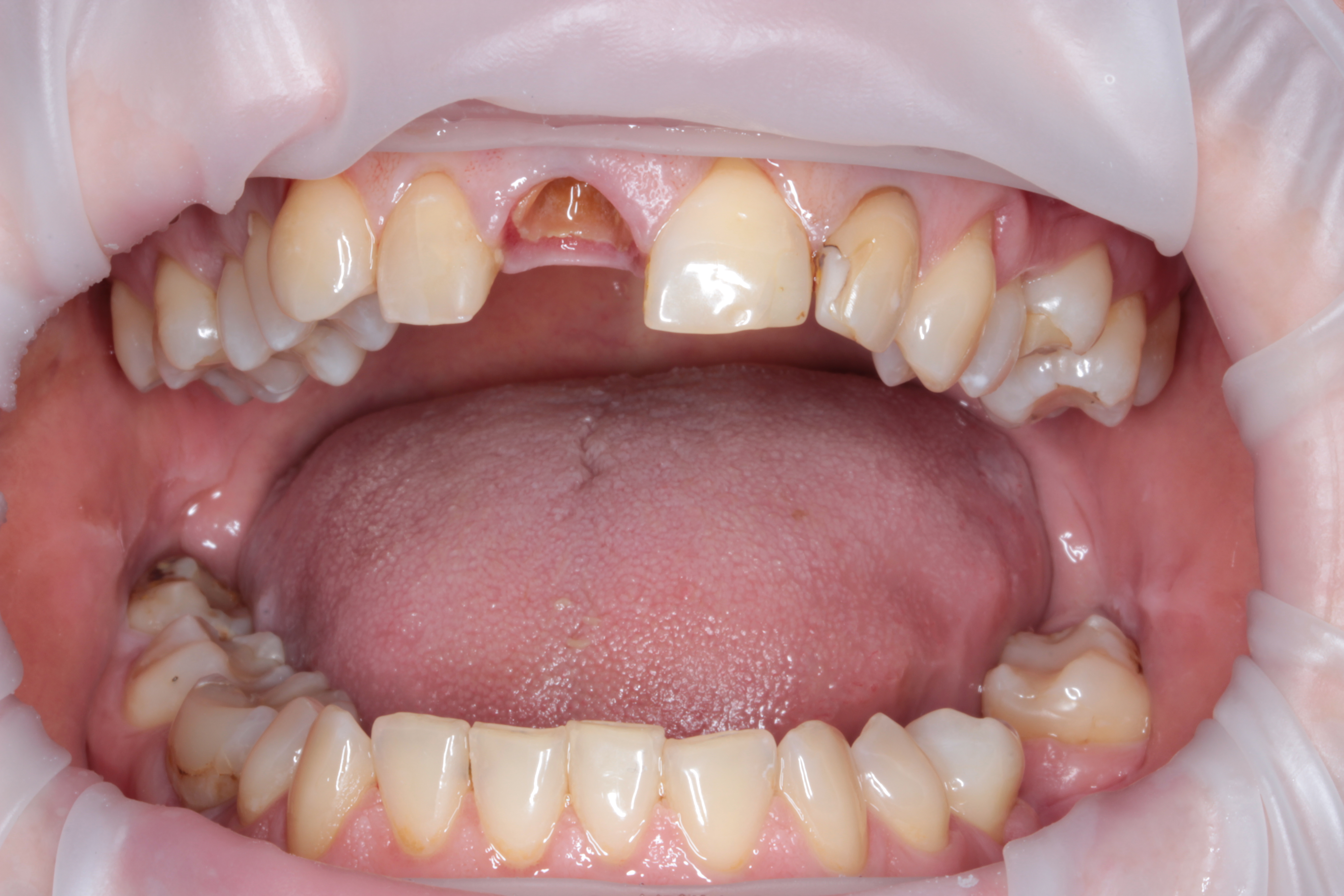
Пациентка в возрасте 49 лет обратилась в клинику для консультации. Ее интересовала возможность улучшить эстетический вид передней группы зубов верхней челюсти. У нее 11-ый зуб был травмирован около 20 лет тому назад. В результате на рентгенограмме диагностирован перелом корня и этот зуб не подлежал повторному восстановлению.
Рис. 1 Исходная ситуация.
Лечение пациента начинается после санации ротовой полости, которая предусматривает пломбирование всех кариозных зубов, а также удаление твердого и мягкого налета. Такие мероприятия уменьшают вероятность возникновения послеоперационных осложнений.
Хирургический этап
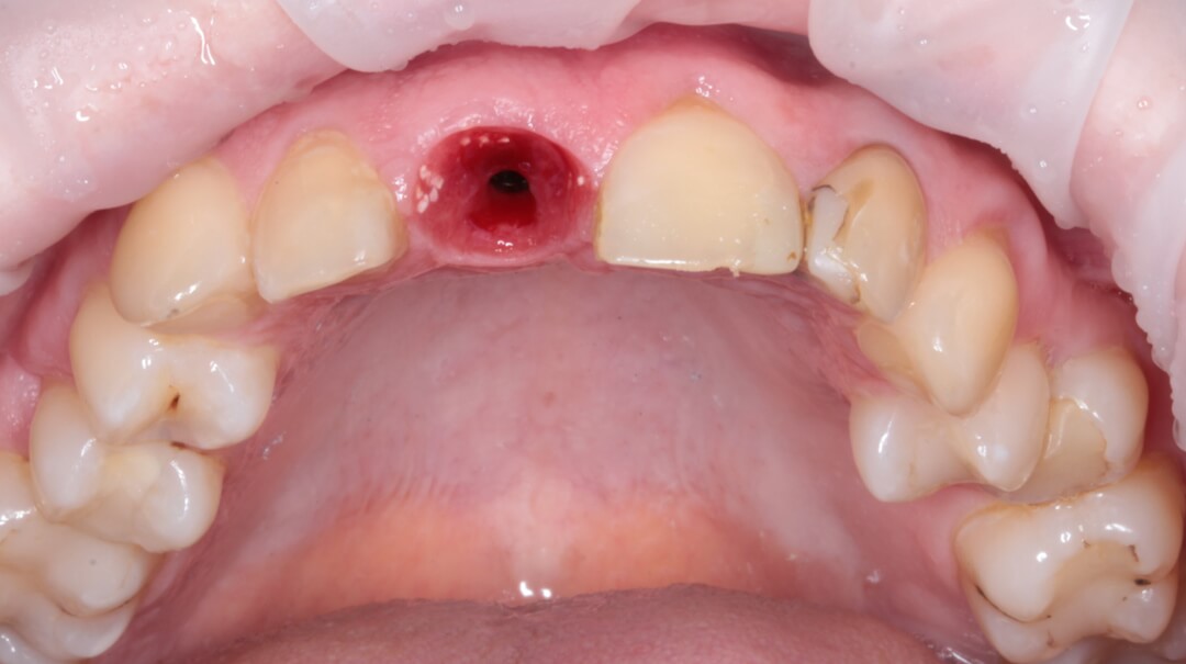
Зуб был атравматически удален фрагментированием на части с помощью пьезохирургического аппарата и элеватора для максимального сохранения объема костной ткани в месте будущей дентальной имплантации. Во время экстракции врач сохранил целостность вестибулярной стенки альвеолы. Восстановление дефекта мягких тканей в данной области проводилось при помощи туннельной технологии субэпителиальным небным десневым трансплантатом . Устранение дефекта слизистой оболочки и десен способствует стабильному высокоэстетическому результату лечения. После этого хирург осуществляет наращивание костной ткани в вестибулярной области с использованием твердых частиц остеопластического материала. Для предотвращения попадания костного материала на внутреннюю часть имплантата врач устанавливает формирователь десны. Учитывая то, что пациентка по профессии учитель и впереди у нее было много ответственных мероприятий, было принято решение изготовить временную коронку на дентальный имплант непосредственно во время операции, так как все необходимые для этого условия были соблюдены и была такая возможность для этого.

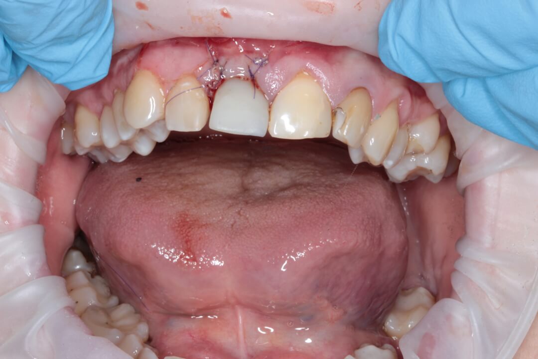
Рис. 2. Вид пациентки после всех проведенных манипуляций в первое посещение.

Рис. 3. Вид пациентки на 10 сутки (снятие швов).

Рис. 4. Вид временной коронки на винтовой фиксации с окклюзионной поверхности. Шахта титанового абатмента закрыта фотополимеризационным материалом.

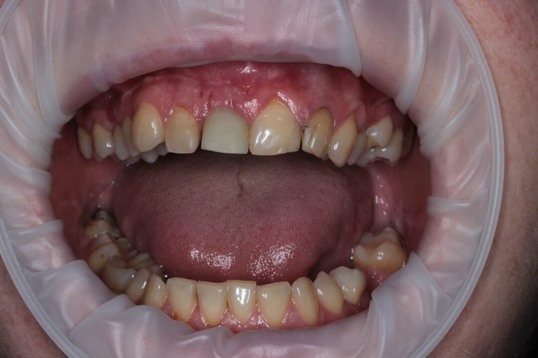
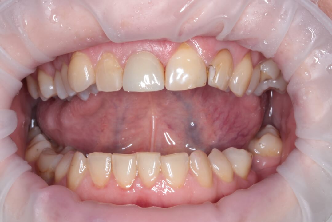
Рис.5 Вид пациентки через 3 месяца после одномоментной имплантации.

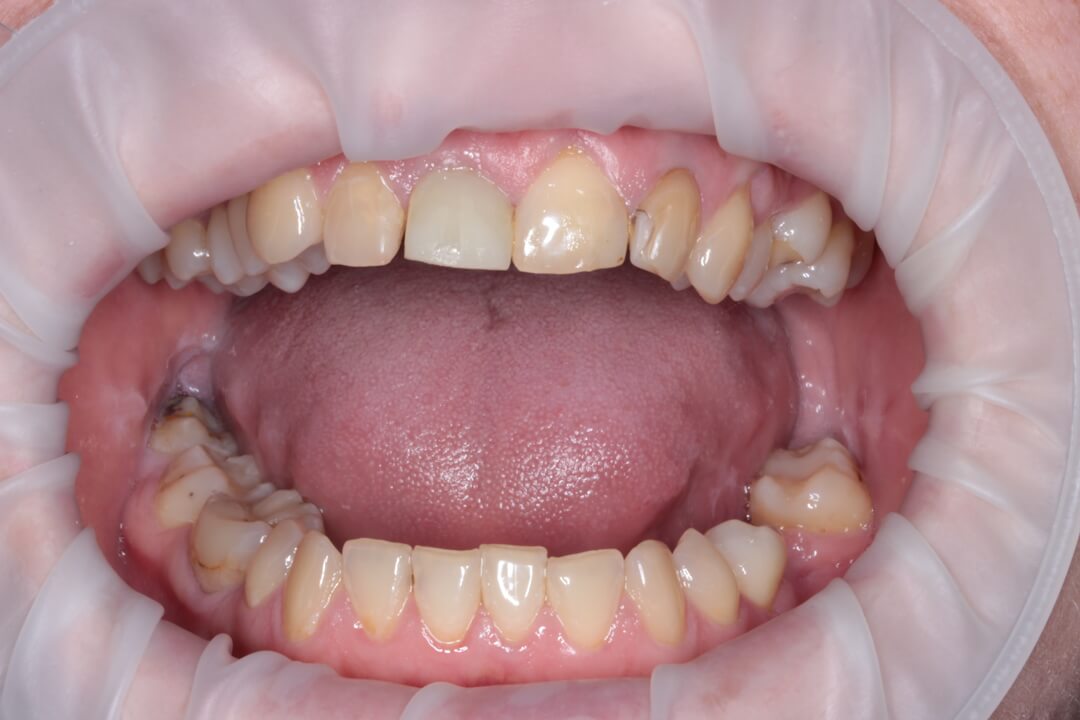
Рис.6 На фотографии видно сохранение объёмов и контуров десны, а также мягкотканную интеграцию частиц костнозамещающего материала.

Рис. 7. На фотографии обведены Сrestal zone, Boundary zone, Esthetic zone. Зоны в профиле прорезывания коронки на дентальном имплатате, при создании которых мы можем получить максимальный эстетический эффект и максимально длительный срок службы нашей реставрации.

Рис.8 . Уровень десневого края и зенитов соседних зубов, который нам удалось получить в технике немедленной имплантации с пластикой десны и установкой временной коронки.

Рис. 9. Окклюзионный вид постоянной оксидциркониевой коронки на винтовой фиксации на гипсовой модели. Постоянная коронка изготовлена через 3 месяца после проведенной операции.

Рис. 10. Фронтальный вид постоянной оксидциркониевой коронки на винтовой фиксации на гипсовой модели

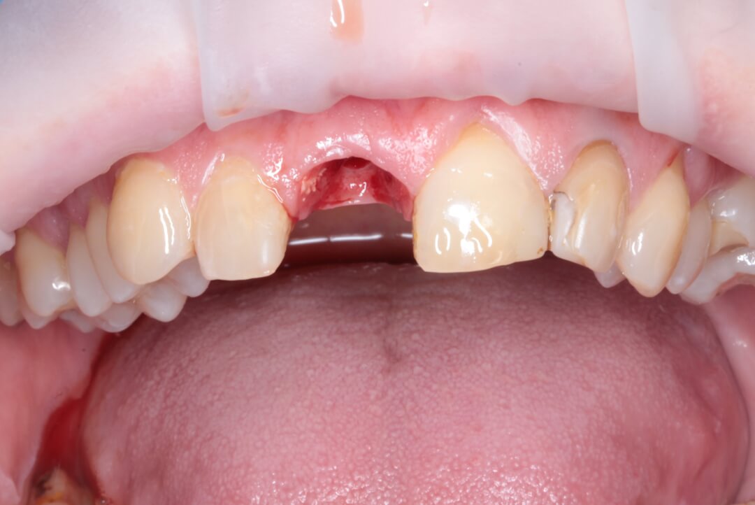
Рис.11. Десневой профиль перед фиксацией постоянной оксидциркониевой коронки.

Рис.12. Десневой профиль перед фиксацией постоянной оксидциркониевой коронки. С помощью временной коронки нам получилось создать и передать правильный природоподобный профиль прорезывания будущей постоянной коронки без признаков воспаления.

Рис. 13. Постоянная коронка зафиксирована в полости рта пациентки.

Рис. 14. Окклюзионный вид постоянной оксидциркониевой коронки на винтовой фиксации в полости рта.

Рис. 15. Окклюзионный вид постоянной оксидциркониевой коронки на винтовой фиксации в полости рта.
Заключение
Стандартная процедура имплантации отличается длительным восстановительным периодом, во время которого участок зубного ряда не подвергается физиологической нагрузке. Вследствие наблюдается усиленная атрофия костной ткани, которая необходима для надежной фиксации имплантата. В случае проведения по одномоментной технологии такого периода нет.
В данном клиническом случае показано, что сочетание одномоментной имплантации, немедленного протезирования и хирургической реконструкции твердых и мягких тканей альвеолярного отростка способствует высококачественному восстановлению зубодесневой области в переднем отделе зубного ряда. Положительный результат лечения наблюдается даже при чрезвычайно неблагоприятных начальных условиях для имплантации и зубопротезирования.
Эффективность создания современного профиля прорезывания коронки на дентальном имплантате оценивалось во время нескольких клинических исследований. Полученные результаты свидетельствуют о длительном сроке службы имплантата, стабильности структуры твердых и мягких тканей ротовой полости, а также о сохранении соотношения уровней вестибулярной и небной пластинки альвеолярного отростка.
У пациентов с сопутствующими дефектами десневого профиля наблюдалось значительное увеличение толщины кератинизированного слоя слизистой оболочки ротовой полости. Наблюдения подтверждают положительные результаты терапии на основе собственных исследований, в ходе которых было проведено полноценное эстетическое замещение отсутствующего зуба в передней части зубного ряда.
Многие специалисты отмечают стабильность периимплантированных тканей при соблюдении всех этапов операции: правильного положения импланта, костной и десневой аугментации, правильной формы временной коронки и окклюзионных взаимоотношений.
Основными преимуществами данного метода считаются: отсутствие длительного восстановительного периода после экстракции зуба и сокращение времени пребывания пациента в стоматологическом кресле. Процедура завершается восстановлением дефекта передней группы зубного ряда.